Substitutes for Uranyl Acetate
Uranylacetat ist seit Jahrzehnten die Chemikalie der Wahl für die Nachkontrastierung von Ultradünnschnitten biologischer Proben, zur Erzeugung kontrastreiche Bilder für Aufnahmen mit dem Elektronenmikroskop. In der Regel folgt diesem Schritt eine Färbung mit Bleicitrat zur Kontrastverstärkung.
Zudem werden Uranylacetat und Uranylformiat werden für die Negativ-Kontrastierung verwendet. Dabei legt das Kontrastiermittel eine elektronendichte Schicht um die Probe, um Aufnahmen im TEM zu ermöglichen. Die Negativ-Kontrastierung wird hauptsächlich für die Darstellung kleiner Partikel wie Makromoleküle, extrahierte Zellorganellen, Viruspartikel oder andere kleine biologische Strukturen verwendet.
Die Radioaktivität der Uranylverbindungen und die damit verbundenen gesetzlichen Beschränkungen waren die treibende Kraft für die Entwicklung neuer nicht-radioaktiver Ersatzstoffe zur Nachkontrastierung. Je nach Probe und zu untersuchenden Strukturen zeigen die Ersatzstoffe ähnliche Färbeergebnisse.
UranyLess / UAR-Ersatzfärbung

Diese Ersatzstoffe für Uranylverbindungen verwenden beide eine Mischung aus Lanthanoiden und zeigen ähnliche Färbeergebnisse wie Uranylacetat. Eine Färbung mit Bleicitrat zur Kontrastverstärkung ist möglich.
Im Gegensatz zur UAR-Ersatzfärbelösung wurde UranyLess intensiv an einer Vielzahl von Geweben getestet, selbst die Negativfärbung von Viruspartikeln zeigt zufriedenstellende Ergebnisse.
UranyLess ist als gebrauchsfertige Lösung in einer praktischen Spenderflasche erhältlich, die eine tropfenweise Dosierung ermöglicht. Neben der wässrigen Standardlösung ist UranyLess auch in 30%igem Ethanol erhältlich, das für dichte, lipidreiche Gewebe verwendet wird, die sonst nur schwer zu färben sind. Für die Gefriersubstitution wurde ein neu formuliertes UranyLess in Acetonlösung entwickelt.
Platinum Blue

In den 1960er und 70er Jahren wurden Platin-Komplexe hauptsächlich als Antitumormittel eingesetzt. Anfang der 2000er Jahre wurde erstmals erkannt, dass Platin-Komplexe auch als EM-Färbemittel verwendet werden könnten. Anfängliche Probleme mit langen Inkubationszeiten und schlechten Färbeeigenschaften konnten durch Verbesserungen der Platin-Komplexstruktur im Laufe der Jahre minimiert werden. Das entstandene Platinum Blue zeigte die besten Ergebnisse.
Die Kontrastierung mit Platinum Blue gefolgt von der Nachkontrastierung mit Bleicitrat zeigt ähnliche Ergebnisse wie die Kontrastierung mit Uranylacetat und Bleicitrat. Der Nachteil dieser Verbindung ist jedoch ihre hohe Toxizität.
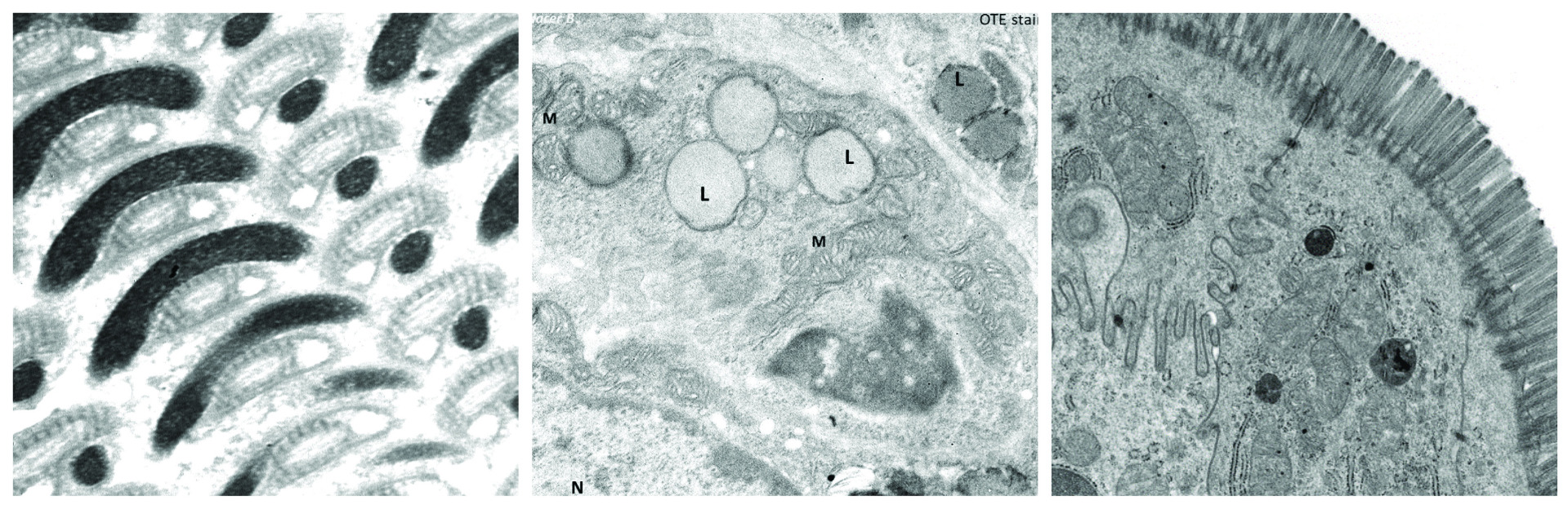
OTE-Kontrastierreagenz

OTE-Kontrastierreagenz ist ein Extrakt aus Oolong-Tee. Er ist ungiftig und nicht radioaktiv und daher ein ungefährlicher Ersatz für Uranylverbindungen.
Das OTE-Kontrastierreagenz hat einen hohen Anteil an Tannin, das gute Ergebnisse bei der Anfärbung von faserigem Bindegewebe nach Kontrastverstärkung mit Bleicitrat zeigt.