
Hämatologie: Die Wissenschaft des Blutes
Hämatologie ist die Wissenschaft oder das Studium von Blut, blutbildenden Organen und Blutkrankheiten. In der klinischen Routine diagnostizieren und behandeln Hämatologen Blutkrankheiten und bösartige Erkrankungen, darunter Hämophilie, Leukämie, Lymphome und Sichelzellenanämie. Die Hämatologie ist ein Teilgebiet der Inneren Medizin, das sich mit der Physiologie, Pathologie, Ätiologie, Diagnose, Behandlung, Prognose und Prävention von Blutkrankheiten befasst.
Erstellt bei Carl Zeiss Microscopy GmbH
Blut besteht aus mehreren Bestandteilen, darunter Erythrozyten (rote Blutkörperchen), Leukozyten (weiße Blutkörperchen), Thrombozyten (Blutplättchen) und Plasma. Alle genannten Zelltypen werden im Knochenmark aus multipotenten Vorläuferzellen in einem Prozess namens Hämatopoese gebildet.
Die scheibenförmigen Erythrozyten machen etwa 45% des Vollbluts aus. Sie transportieren Sauerstoff aus den Lungen zu den Geweben und Organen des Körpers und gleichzeitig Kohlendioxid zurück in die Lungen, wo es ausgeatmet wird.
Leukozyten sind die Zellen des Immunsystems, die den Körper vor Infektionskrankheiten und fremden Eindringlingen schützen. Thrombozyten, auch Blutplättchen genannt, sind kleine, farblose Zellfragmente, die sich aneinanderheften und mit Gerinnungsfaktoren interagieren, um Blutungen aus Blutgefäßverletzungen zu stoppen. Zusammen mit den Leukozyten machen sie weniger als 1% des gesamten Blutvolumens aus. Der flüssige Teil des Blutes, das Plasma, besteht zu 92% aus Wasser und enthält lebenswichtige Proteine, Mineralsalze, Zucker, Fette, Hormone und Vitamine.
Hämatologen untersuchen routinemäßig periphere Blutausstriche auf Glasobjektträgern mit einem Mikroskop, um Anomalien zu finden, die auf hämatologische Krankheiten hinweisen, oder um nach Blutparasiten zu suchen, wie sie beispielsweise bei Malaria und Filariose vorkommen. Der Blutausstrich wird getrocknet, mit Methanol auf dem Objektträger fixiert und gefärbt, um die verschiedenen Zelltypen zu unterscheiden. In der Hämatologie sind die meisten Färbetechniken Romanowski-Färbungen wie die Wright-Färbung, die Giemsa-Färbung oder eine Kombination aus beiden, um Anomalien bei Erythrozyten, Leukozyten oder Thrombozyten festzustellen.
Mittels Lichtmikroskopie mit bis zu 1.000-facher Vergrößerung werden die verschiedenen Zelltypen innerhalb eines Monolayers erkannt, gezählt und die Ergebnisse mit einer Digitalkamera dokumentiert. Auf diese Weise lassen sich viele Arten von Anämien ebenso nachweisen wie Leukämien oder die Entwicklungsstadien des Malariaparasiten Plasmodium falciparum. In bestimmten Fällen wird die mikroskopische Untersuchung von peripheren Blutausstrichen durch eine Knochenmarkuntersuchung ergänzt.
Mikroskopielösungen für die Hämatologie
Anforderungen an das Mikroskop
Bei der Untersuchung eines peripheren Blutausstrichs beginnt der Hämatologe mit einem Objektiv mit geringer Vergrößerung, typischerweise einem 20- oder 10-fachen. Der Hämatologe verschafft sich einen Überblick über die Dichte der roten und weißen Blutkörperchen, die Menge der Erythrozyten, ihre Farbe und grobe Morphologie und ob offensichtliche zelluläre Einschlüsse vorhanden sind. Bei höherer Vergrößerung (in der Regel 60- oder 100-fach, manchmal 40-fach bei Knochenmark) wird eine manuelle Differenzialzählung der Zellen durchgeführt und die Morphologie der roten und weißen Blutkörperchen einschließlich des Vorhandenseins von Einschlüssen oder Parasiten beurteilt. Eine sehr gute Differenzierung der Zelltypen und deutlich sichtbare zelluläre Details sind absolute Voraussetzungen in der Hämatologie. Hämatologen sind auf kristallklare Bilder angewiesen, um morphologische Details wie feine Granula, Auer-Stäbchen, Unregelmäßigkeiten der Kernmembran oder gespaltene Zellkerne sichtbar zu machen.
Außerdem ist höchste Farbtreue bei der Untersuchung von Blutausstrichen und Knochenmarkpräparaten entscheidend. Neben der Hellfeldmikroskopie werden für bestimmte Arten von Proben auch Phasenkontrast- und Polarisationsmikroskopieverfahren eingesetzt. Während hämatologische Färbungen zu einer guten Differenzierbarkeit der Probe und der zellulären Merkmale führen, sind es die optische Qualität des Mikroskops, die Genauigkeit der angeschlossenen Kamera für die digitale Dokumentation und das ergonomische Design des Geräts, die beim Screening von Patientenproben den Unterschied ausmachen können.
Anwendungsbeispiele

Blutgefäße im Hellfeld
Aufgenommen mit ZEISS Axiolab 5

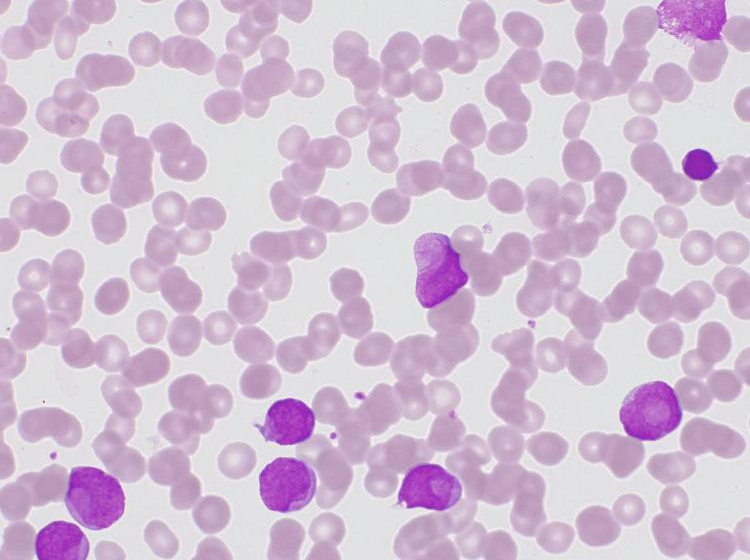
Unbedeckter Blutausstrich im Hellfeld
Wright-Färbung

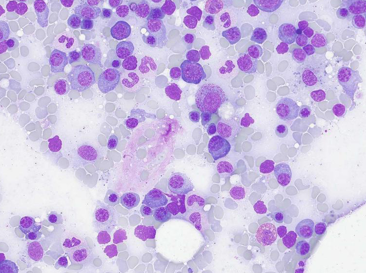
Knochenmark im Hellfeld, Auer-Stab.
Aufgenommen mit ZEISS Axioscope 5

Knochenmark im Hellfeld
Aufgenommen mit ZEISS Axioscope 5