
Krankheiten auf zellulärer Ebene erkennen
Die Zytopathologie oder Zytologie zielt darauf ab, Krankheiten auf zellulärer Ebene durch die Untersuchung einzelner Zellen und Zellstrukturen zu erkennen. Diese Disziplin der Pathologie wurde 1928 von dem griechischen Medizinpionier George Papanicolaou begründet, der auch den „Pap-Abstrich“ erfand. Dieser Abstrich wird heute üblicherweise in der Zytopathologie verwendet, bei dem Proben von einer Vielzahl von Körperstellen auf einen Objektträger aus Glas aufgebracht werden, dabei entsteht ein dünner Flüssigkeitsfilm mit Zellen, der fixiert und anschließend angefärbt und lichtmikroskopisch untersucht wird.
Erstellt bei Carl Zeiss Microscopy GmbH
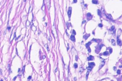
Prominente Beispiele für die exfoliative Zytologie sind der bereits erwähnte Pap-Abstrich, bei dem Zellen vom Gebärmutterhals mit einem speziellen Spatel abgeschabt werden, oder Zellen, die aus Körperflüssigkeiten wie Blut und Urin, Pleura- und Perikarderguss oder Aszites aus dem Bauchfell gewonnen werden. Bei der Interventions- oder Feinnadelaspirationszytologie (FNAC) entnimmt der Pathologe mit einer kleinen Nadel Zellen aus verschiedenen Körperorganen zur diagnostischen Analyse in der Gynäkologie, Lymphknoten-, Schilddrüsen-, Brust-, Leber-, Lungen-, Nieren- oder Pankreaszytologie. Diese zytologischen Untersuchungen werden in der Regel eingesetzt, um nach Zellen zu suchen, die abnorme Veränderungen, so genannte Hyperplasie und Dysplasie, durchlaufen und zu Krebszellen werden können.
Mikroskopielösungen für die Zytologie und Zytopathologie
Anforderungen an das Mikroskop
Eine sehr gute zelluläre Differenzierung und deutlich sichtbare nukleäre Details sind in der Zytologie unabdingbare Voraussetzungen für die Karzinom- und Tumorzelldiagnostik. Zytologen und Pathologen sind auf gestochen scharfe Bilder ihrer Proben mit höchster Farbtreue im Hellfeld, Phasenkontrast, DIC oder Fluoreszenz angewiesen. Während zytologische Färbungen wie die Papanicolaou-Färbung (PAP-Färbung), die Giemsa-Färbung oder die Romanowski-Färbung zu einer spezifischen Anfärbung von Zellmerkmalen führen, sind es die optische Qualität des Mikroskops, die Genauigkeit der angeschlossenen Kamera für die digitale Dokumentation und das ergonomische Design des Geräts, die beim Screening von Patientenproben den Unterschied ausmachen können.
Anwendungsbeispiele

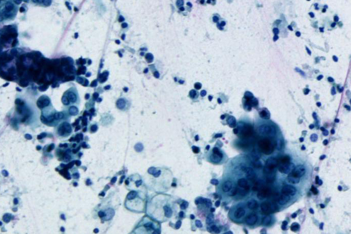
Lunge, aufgenommen im Hellfeld

HER2-Zentromer, Fluoreszenzkontrast
Brockhoff working group, Institute of Pathology, University of Regensburg, Germany

Lunge, aufgenommen im Hellfeld