UranyLess: Applications
|
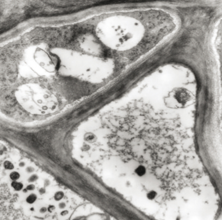
Plant Tissue Preparation of the sample using the following protocol:
|
||||
|
|
Phage T6 Preparation of the sample using the following protocol:
|
||||||||
|
|
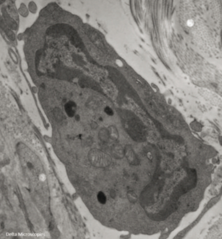
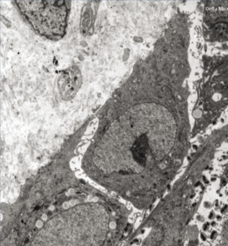
Liver Mouse and Gerbil Sahara Preparation of the sample using the following protocol:
|
||
|
|
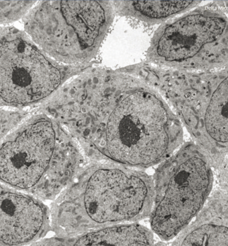
Culture Cells, Preparation of the sample using the following protocol:
|
||||||||||
|
|
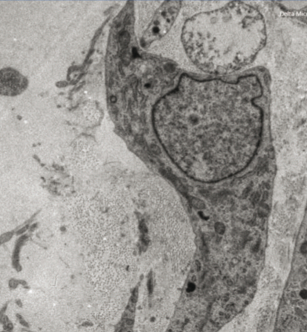
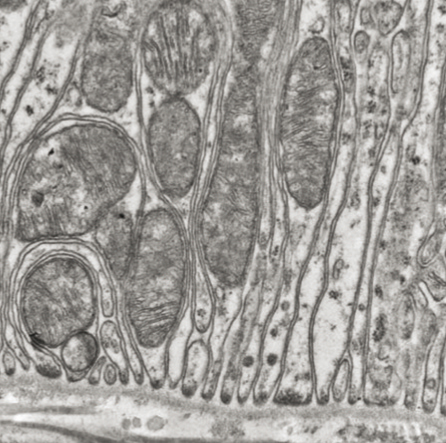
Muscle - Nerve - Mice Preparation of the sample using the following protocol:
|
||||||||
|
|
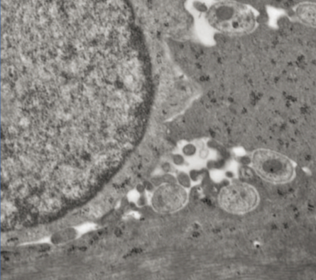
PLC Contrast Leica EM Stain Preparation of the sample using the following protocol:
Chantal Cazevieille CRIC / IURC INSERM Montpellier tested aqueous UranyLess in the Leica brand grid contrast controller on different tissues, Drosophila heart atrium, retina, cochlea and ileum (Gut). The tissues were fixed according to the standard protocol 2.5% Glutaraldehyde in PHEM buffer, the post fixation in 0.5% osmium in 0.8% potassium ferrocyanide in RT for 2 hours. The sections are collected on single-hole or 200 mesh grids. |
||||||||
|
|
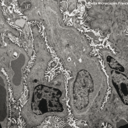
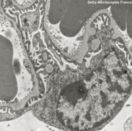
Mouse Kidney Preparation of the sample using the following protocol:
|
||||||||
|
|
Mouse Cardiac Muscle Preparation of the sample using the following protocol:
|
||||||
|
|
Negative staining with Uranyless examined by TEM norovirus virus-like particles (VLPs) |
||||
|
||||




























